Same day teeth in Lyme Regis
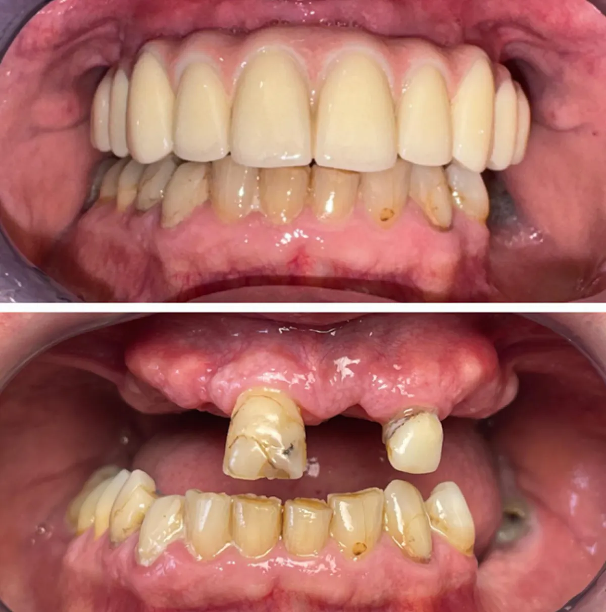
Dental implants in 1 day is a process offered at Lyme Bay Dental & Implant Clinic in Lyme Regis where patients can have implants placed and fully functioning teeth attached in the space of 1 day.
Traditional implant procedures require between 3 and 6 months between placing an implant and restoring with the final replacement teeth. This ensures that following placement, the area completely heals and the implant bonds with the jaw, before it bears any load from the permanent replacement teeth. During this time, temporary restorations are often provided to ensure you are not left with any gaps.
With the latest technological advances at Lyme Bay Dental & Implant Clinic, it is now possible to place an implant and restore with the final replacement crown, bridge or dentures immediately, ensuring you can walk out of the clinic with your new smile in 1 day.
Same day smile can be used to replace a single tooth, multiple teeth, or to anchor a complete set with denture stabilisation.






